Dear readers,
A while back I used this space to tell you about my glaucoma issues. Today I have more news, not related to the glaucoma but related to my eyes.
A couple of weeks ago, I noticed that when I used the computer it was slightly blurry. If I used my reading glasses, it helped a bit, as did using the zoom. Then I went on holiday vacation and stuck to my iPad, which was better. A few days ago when I woke up, I couldn’t tell what time it was on the clock next to my bed. I chalked it up to being sleepy. That night, when I was going to bed, I happened to glance across the room at a photo collage hanging on the wall and it looked dark. I covered my left eye, and it was completely black, I couldn’t even tell that it was a collage. When I covered my right eye, it looked completely normal.
When I woke up on Thursday, I figured I’d give it a day to see if it cleared up. It didn’t. I kept playing with my eyes, covering first the left, then the right and figured out that the center of my vision in the right eye was blurry, the surrounding area was fine. When I read on my iPad with the left eye covered, there were blank spots on the page, entire words missing. So Friday morning, I called my eye specialist at Bascom Palmer. A few conversations later, with triage and the glaucoma specialist on call, I was told to come in. Several hours later, after a painless test where my eyes were dilated and pictures were taken of the inside of my eye, I was told that I have a stage 4 macular hole in my right eye.

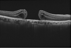
normal macular

macular hole
This is a link to the National Institute of Health page on this condition. There is no preventative and now I have a 15% chance of getting the same condition in my left eye. The cure is surgery. I am meeting with a retina specialist on Friday to see if I’m even a good candidate for the surgery. And when I say cure, unfortunately it doesn’t guarantee my vision will be corrected, only that the hole may be filled.
I will be slowing down the blog as reading is difficult for me right now, and typing on a computer even harder. I can read on my Kindle but not really using print books, which is a very weird feeling for me.
I would like to ask you, my readers, to help me out if you can. Please use the comment section to share your good reads; you can be as succinct or detailed as you like. I will be using social media for updates as needed.
Finally, all good thoughts and prayers are welcome! Thank you.





Best of luck with the surgery. Hope you have a positive outcome.
Thanks, Jennifer
Having vision issues is terrible for anyone and especially for those of us who love to read as much and as often as possible. I wish you all the best and hope you are a candidate for the surgery and for complete restoration of your vision.
Thank you, Esther
Hugs and prayers.
Hugs and prayers.
Thanks, Mary
I have a scleral buckle on my left eye and have had for 20 yrs due to a detached retina. Have also had laser surgery on right due to pin holes in the retina. My prayers are with you
I hope all goes well with the surgery x
Me too! Thanks
Macular degeneration is in my life, both through heredity and some other issues. I’m sending you lots of good wishes, energy for successful surgeons, and calm healing. My very best to you!
Thank you, and right back at you!